
・

・
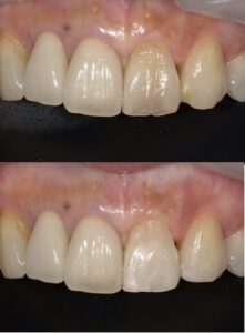
50代の患者さま
前歯が黒く見えるのが気になるとご紹介により世田谷からご来院されました。
全体的に咬耗があり、ブラキサーであることが分かります。
で、左上1番ですが、表面にクラック、切端摩耗、かすかにエナメル質形成不全も確認できます。
ベストな修復はラミネートべニアですが、一応保険で詰めてみますかということで
CR充填してみました。
左上2番が先欠で矯正既往歴があり3番を2番の位置に移動しています。
近心面のカリエス治療と軽く形態修正も行いました。
セラミックのキレイさには負けますがイイ感じではないでしょうか?





