
・

・
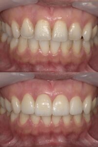
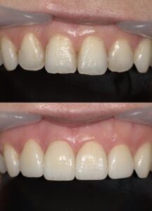
30代 女性の患者さま
上顎前歯4本のジルコニア 5レイヤーでの修復症例です。
隣接面う蝕によりCR充填されていました。
どうしてもCRは吸水性があり、経年劣化により歯質とのつなぎ目が着色してしまいます。
CR充填のやり直しや
研磨だけでもキレイになることもありますが
根本的にキレイにしたいとのご要望でしたので
ジルコニアにて修復しました。
生活歯なので歯質の削除量を少なめにしたく
ジルコニア・ポーセレンではなく
フルジルコニアの5レイヤーを選択しています。
5レイヤーは5層のグラデーションがジルコニアブロックに与えられていますので
前歯部にも十分対応可能ですね。
患者さまにもご満足いただけ
やって良かったとおっしゃて頂けました。





