
・

.
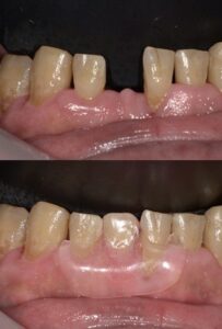
60代 男性の患者さま
以前は保険の義歯を使われていたそうです。
銀色のバネが目立つのと、義歯の落ち着きが悪いのが気に入らなかったそうです。
目立たない義歯を作りたいとご来院されました。
歯茎の状態も芳しくなかったので
歯周初期治療後にノンクラスプデンチャー、クリアーアームの製作を行いました。
IOSによるスキャンデータで製作しますので
最短2回の来院で完成です。
イイ感じですね。
普通に話す距離だとほぼ義歯だとわからないと思います。
フィット感もよいと大変喜んで頂けました。





