
・

.

.
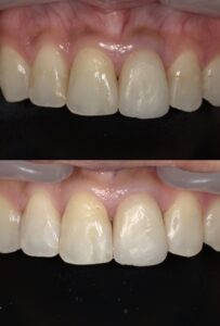
30代 女性の患者さま
矯正治療終了後のCR充填症例です。
右上1番2番、左上2番の隣接面
左上1番矯正ブラケット装着のため、セラミック表面に軽くディポットをつくりました。
歯茎のラインが変わったら矯正後にセラミックやり替えとお話ししていたのですが
マージンラインキレイなままでしたので表面のみCR充填してみました。
写真ですと分かりずらいのですが、イイ感じにキレイに仕上がっています。
CR,コンポジットレジン各メーカーより色々な種類が販売されています。
当医院はアメリカ製3M社のものを使用しております。
保険治療ですと給付金額が決まっていますので
単価の安い製品を使った方が医院の利益は高くなるのですが
利益は無視して高品質の製品を採用しております。
アメリカでCR修復を受けると1本10万円位~ですが
そのクオリティに値するものを使っております。

.

.





