
![]()

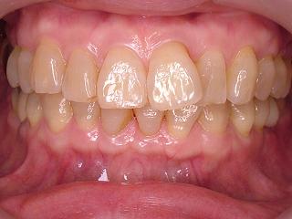
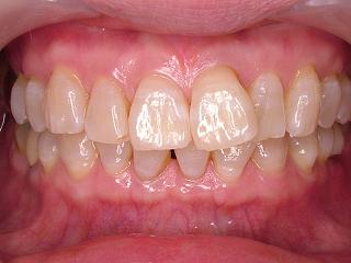
50代 女性の患者さまです。
オフィスホワイトニング 1回のみでの術前、術後の写真になります。
ホワイトニングには2種類あり
ホームホワイトニング / お家でご自分のペースでゆっくり白くします。
オフィスホワイトニング / 診療室にてDRの管理のもと、その場で白くします。
白い歯は素敵。ホワイトニングはしたいけど。。
安全かな?面倒かな?高いんじゃない?
そんな疑問があるかと存じます。
当医院のホワイトニングシステムは
安全かな? ホワイトニング剤はph7ですのでエナメル質を傷めません。
面倒かな? オフィスでしたら1回で終了します。
ホームでは寝ている間にうすいマウスピースを装着していただきます。
高い? オフィス 31.500円
ホーム 21.000円 です。
現在、ホワイトニングの種類、薬も色々あり、価格設定も数千円~数十万円まで幅広いですね。
どの医院を選択するのかは考え方で当然違うと思いますが
鈴木歯科・矯正歯科医院は白く結果をだします(笑)
ホワイトニングの症例





