
![]()

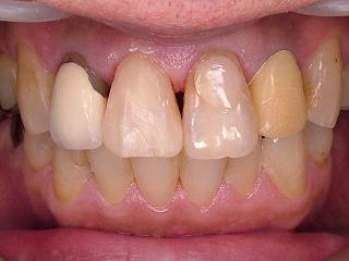
右上1番のCR充填です。
年を重ねるとどうしても歯槽骨は吸収し
歯の見た目が長くなってしまいます。
ライン出しが難しかったですがキレイになりましたね。
この患者さまは自費でのCR充填を選択してくださいました。
CRはもちろん保険治療の適応です。
ですが
保険制度の根本の考え方は
日本国憲法第25条
「すべての国民は健康で文化的な最低限度の生活を営む権利を有する」
から来ています。
最低限度の。。です。
普通のとか、一般的なとか、スタンダードなではないんですね。
若く熱心なDRは何とか保険で最高の治療をと考えます。
ですが、無理なんです。
保険でのCR処置での医院収入は約3000円です。
患者さまの負担は1/3ですから約1000円。
写真のような処置で1時間程度かかっています。
3000円でDRと衛生士の時給+材料代+機材、税金他の経費。。
絶対的に赤字になります。
じゃあ1時間に2人でも3人でも4人でもみようとなり
歯科は予約があって無いような状況になるんですね。
当然、患者さま1人に対する時間が短くなれば、何処かに妥協した治療になります。
結果、保険での治療は平均2~5年でダメになると沢山のデータが証明しています。
何か誰も幸せになってない気がします。
歯科医院は歯科医療を提供するサービス業である。と国は定義しています。
サービスには当然サービスに見合う対価が必要です。
ですが保険制度では説明はアメリカ並に情報提供しろ。
だけど処置分しか報酬は払わないから
収入はアメリカのDRの1/20でガマンしろと言う制度です。
当医院は保険医療機関ですので、当然保険診療を行っております。
かなり頑張っているつもりです。
ですが、保険の範囲で過度な期待はなさらないで頂きたいと存じます。
保険の範囲での審美歯科はありえません。
前歯CR(コンポジットレジン)症例





