
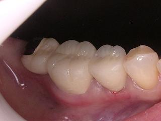
右下7⑥⑤の延長ブリッジです。
ブリッジは欠損部の両脇の歯を支えとして、橋のように補綴するのですが
最後臼歯がない、もしくは遊離端欠損の場合
ベストはインプラント補綴ですが
どうしてもインプラントはイヤ、義歯はもっとイヤという場合に
致し方なく延長ブリッジにする場合もございます。
力学的にかなりおかしな設計ですので
欠損部の直前の歯は大きなストレスにさらされます。
この患者さまは直前の歯が生活歯ですのでまだ耐えられますが
神経のない歯では歯根破折が起こりがちです。
ストレスをを最小限にする形態にしなくてはいけません。
症例ブログ





