
.

.

.
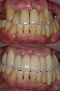
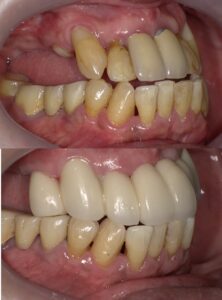
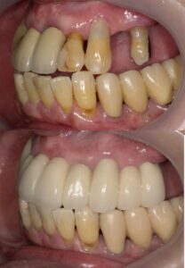
70代 男性の患者さま
長く通院されている患者さまなのですが
如何せんホームケアが不十分
ヘビースモーカー。。
義歯も製作したのですが
異物感が半端ないと、ほとんど使用していない。。
定期健診に診えたところ
上顎左右1番が歯根破折をおこしていました。
義歯はいや、インプラントはもっといやとのことで
左右1番抜歯後
右上4番のコーピングを土台に加えての9本full-buridgeにて修復しました。
患者さま大喜び
高い歯はイイな~ だそうです(笑)
これからは定期的にお越しいただき
一生この状態をキープできるように
徹底的にケアして行きます。





