
.

.
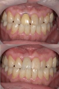
40代 男性の患者さま
前歯をキレイにしたいとnet経由でご来院されました。
歯周初期治療後、左上1番2番は保険のCR充填。
右上1番は根の治療をやり直してからジルコニア・ポーセレンにて修復しております。
tax in 146,300円です。
症例ブログ

.

.
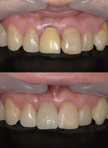
40代 男性の患者さま
前歯をキレイにしたいとnet経由でご来院されました。
歯周初期治療後、左上1番2番は保険のCR充填。
右上1番は根の治療をやり直してからジルコニア・ポーセレンにて修復しております。
tax in 146,300円です。