東北関東大震災から1週間が過ぎました。
とてつもなく甚大な被害に心が痛みます。
しかし、凄惨なニュースが流れ続ける一方で
自衛隊や警察の方々による命懸けの救援活動により
多くの尊い人命が救われています。
原発の事故処理にも危険を顧みず対処して頂いております。
また、全国で節電や義援金などの活動が行われています。
人と人がつながる心温まる出来事もたくさん起きています。
人は素晴らしいです。無限の力を持っています。
どんなに辛い状況でも立ち直れると信じています。
私も、出来る事から始めています。
少しでも優しい気持ちの人が増える様に、笑顔になれる様に
貢献出来ればと。。

![]()

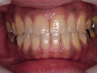
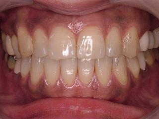
この週末に挙式される患者さまです。
幸せの笑顔がもっと素敵になるように銀歯を
仮歯(tek)で白く替えてみました。
一人の笑顔から世界は変わってゆくと信じています。
院長ブログ・コラム





