
歯のかぶせもの、詰め物をつくる際にする型取りを印象と言います。
印象時に、より形成ラインを明確に分かるようにするため、歯のまわりに糸を卷く行為を
歯肉圧排と言います。
形成ライン=マージン=歯と補綴物のつなぎ目 です。
通常は健全な歯肉(ポケット2mm程度)の状態で
歯肉ラインから0.5mm下がったところがベストとされています。
この0.5mm下の部分が体液の対流により 汚れを洗い流してくれる位置であり
歯ブラシの毛先がしっかり届くレベルでもあります。
一番清潔に保ちやすいラインなんですね。
削りっぱなしで印象をすると
歯ぐきが炎症を起こしている場合は、盛り上がりマージンを隠してしまいますし
健康な歯ぐきでも、歯と密着しすぎていると血液や体液が充満して印象材の侵入を
妨げてしまいラインが分からなくなってしまいます。
よって良い補綴物を作るのであれば圧排は絶対必要です。
圧排に使う糸を圧排糸と言います。
市販のものでは000が一番細いのですが、健康な歯ぐきは000の糸の侵入も拒むほど
ピシッと歯に密着しています。
そこで当医院では縫合用の糸で1次圧排を行い、その上から000もしくは00の糸でもう一度巻いています。

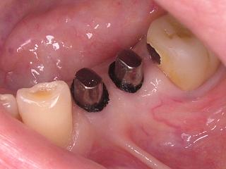
形成ではなくインプラントの症例ですが考え方は一緒です。

歯ぐきのラインより下まで型がとれているのがお分かりいただけると思います。
院長ブログ・コラム





