
![]()

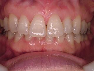
ホワイトニング タッチアップです。
この患者さまはホームホワイトニングを1ヶ月して頂きました。
とてもキレイになったのですが、もう少し白くしたいとのご要望でしたので
診療室にてタッチアップを行いました。
通常のオフィスホワイトニングではなく
ホーム用のカスタムトレーに濃度が高い薬を使用し、待合室にて30~40分で終了するホワイトニングです。ホームホワイトニングの延長の様な感じですね。
あと一歩の白さに有効です。
ホワイトニングの症例
ホワイトニングの症例

![]()

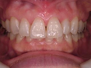
ホワイトニング タッチアップです。
この患者さまはホームホワイトニングを1ヶ月して頂きました。
とてもキレイになったのですが、もう少し白くしたいとのご要望でしたので
診療室にてタッチアップを行いました。
通常のオフィスホワイトニングではなく
ホーム用のカスタムトレーに濃度が高い薬を使用し、待合室にて30~40分で終了するホワイトニングです。ホームホワイトニングの延長の様な感じですね。
あと一歩の白さに有効です。