


ホワイトニング症例です。
一番上が術前
まん中がオフィスホワイトニング直後
下がホームホワイトニング2週間後になります。
オフィスのみでも充分キレイになりますが
メインテナンスの事も含めてホームホワイトニングもされる事をお薦めしております。
キレイになりましたね。
ホワイトニングの症例
ホワイトニング
« セパレーション
ホワイトニングの症例



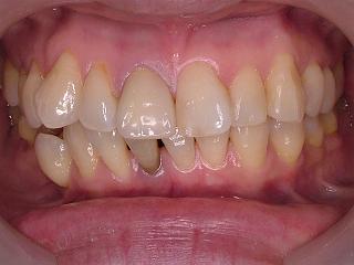
ホワイトニング症例です。
一番上が術前
まん中がオフィスホワイトニング直後
下がホームホワイトニング2週間後になります。
オフィスのみでも充分キレイになりますが
メインテナンスの事も含めてホームホワイトニングもされる事をお薦めしております。
キレイになりましたね。