
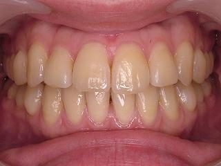
![]()

オフィスホワイトニング1回のみの術前、術後です。
この患者さまはHPをご覧になり熊谷からお越し頂きました。
熊谷の矯正歯科で治療後2年が経過しています。
キレイな歯並びで、輝く白さがあれば、笑顔は無敵になりますね♪♪
これからホームホワイトニングも行い、もっと輝く白い歯になる予定です。
ホワイトニングの症例
ホワイトニングの症例

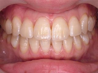
![]()

オフィスホワイトニング1回のみの術前、術後です。
この患者さまはHPをご覧になり熊谷からお越し頂きました。
熊谷の矯正歯科で治療後2年が経過しています。
キレイな歯並びで、輝く白さがあれば、笑顔は無敵になりますね♪♪
これからホームホワイトニングも行い、もっと輝く白い歯になる予定です。