
![]()

ホームホワイトニングです。
即効性はありませんが、確実に歯は白くなります。
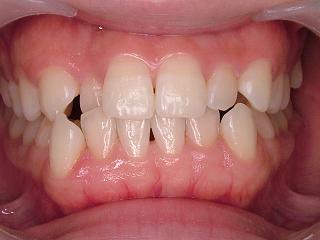
術前とホームホワイトニング1ヶ月後の写真です。
キレイですね。白く明度も上がりました。
余談ですが本日初診の患者さまから、エステで歯を白くすると謳っているところがあるとお聞きしました。
なんでも歯には触れないので(医師ではないのですから当然ですね)、自分で歯磨きをし、自分で薬を塗ってホワイトニング?をするそうです。
価格は安いのですが効果は。。 どうでしょう。。
白くならなかったので、当医院に来院されたとおっしゃていました。
当医院で使用しているホワイトニング材は、安全性について最も厳しいといわれている FDA(アメリカ歯科医師会)でも認められており、多数の研究発表もされています。
歯を痛める事は一切ありません。ご安心くださいね。
ホワイトニングの症例





