
![]()

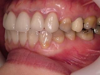
テトラサイクリンによる変色歯です。
TC変色歯は4段階に分類されるのですが、2段階目、中等度までは普通にホワイトニングが可能です。
写真の患者さまは、他の歯科医院に通院中なのですがホワイトニングを希望され来院されました。上の前歯6本は他医院にて修復されています。マージンの赤味(炎症)が気になりますね。。。
2ヶ月ホームホワイトニングをして頂きました。
薬品による変色にはホームでじっくり行うのが効果的です。
ホワイトニングの症例
ホワイトニングの症例

![]()

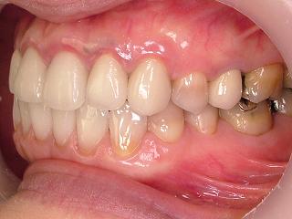
テトラサイクリンによる変色歯です。
TC変色歯は4段階に分類されるのですが、2段階目、中等度までは普通にホワイトニングが可能です。
写真の患者さまは、他の歯科医院に通院中なのですがホワイトニングを希望され来院されました。上の前歯6本は他医院にて修復されています。マージンの赤味(炎症)が気になりますね。。。
2ヶ月ホームホワイトニングをして頂きました。
薬品による変色にはホームでじっくり行うのが効果的です。