
![]()

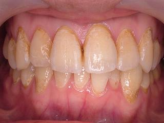
歯を白くしたいとHPをご覧になり来院されました。
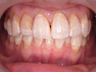
オフィスホワイトニング1回のみの術前、術後の写真になります。
この患者さまはエナメル質の形成不全があり、歯茎に近いエナメル質が薄い部分ではC0のカリエスになっています。ホワイトニング後は再石灰化を促す処置を行い、実質欠損のあるところは修復しなくてはいけませんね。
当医院のホワイトニング材はPH7ですので一切エナメル質を傷つけません。
以前は形成不全やテトラサイクリンによる変色歯にはホワイトニングは効果がないと言われましたが、最近では多くの症例で白く改善出来るようになりました。
1回のみの施術でもかなり白くキレイになりました。
右上の2番がCRで修復されています。ホワイトニング後は濃く浮き上がっています。
今後ホームホワイトニングもして頂き、患者さまの満足いく白さになった時点でCRはやり直しですね。
白い歯、素敵です。笑顔も無敵になります。
すべての人をホワイトニングで無敵の笑顔にしたいですね(笑)
ホワイトニングの症例





