
![]()

![]()

オフィスホワイトニングとホームホワイトニング
両方行なう事を
デュアルホワイトニングとかパーフェクトホワイトニングと呼びますね。
当医院でも1番のオススメです。
まず診療室で1時間程度かけオフィスホワイトニングを行います。
1回でかなり白くキレイになるのですが、患者さまの望みの白さまではならない事も正直あります。
そんな時
もう一度オフィスホワイトニングを行って頂く。2回施術すればほぼ望みの白さになります。
オフィスを行なった後、望みの白さになるまでホームホワイトニングをして頂く。
の2パターンがあります。
当医院ではオフィス+ホームをお薦めしております。
と言うのもホワイトニングをしても、1年くらいは全然大丈夫ですが普通の生活をしていればある程度は色の後戻りがあります。着色性のない物だけ口にするのは不可能ですからね。
少し色が戻ったかなと感じた時に1~2日ホームをするとすぐに白く戻るんです。
よくどれ位もちますか?とご質問を受けますが、メンテナンスをしていればずっと白いままですね。ホームホワイトニングのキットがあればご自分でのメインテナンスが可能です。また医院でのタッチアップでもカスタムトレーがあればすぐに行う事が出来ますので、オフィス+ホームのコンビネーションが最高です。
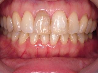
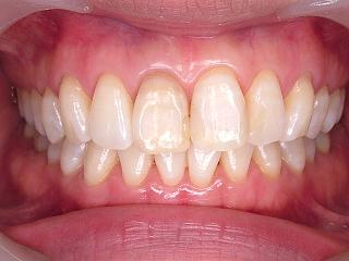
写真の患者さまは昨年の年末に前歯の色が気になるとHPをご覧になり来院されました。
2月に挙式なさるそうで(おめでとうございます!)前歯の変色を気にされていました。
患者さまの選択肢として、マニキュアかホワイトニングを考えていました。
マニキュアは銀歯を白くする様な時には良いのですが、前歯に関しては少しどうなの?と言うところがあります。部分的にはがれる可能性や白くは出来るのですが、ベタな感じでツヤがないのです。最近マニキュアのお問い合わせも多く頂くのですが、可能であればホワイトニングをお薦めしております。全ての歯がキレイになりますしね。
この患者さまもホワイトニングを選択して下さいました。
通常はオフィスを行なった後にホームですが、年末年始の時間がもったいないのでまずホームホワイトニングを3週間して頂き、その後オフィスホワイトニングを行いました。
上の写真が 術前、初診時
真ん中の写真が ホームホワイトニング後、オフィスホワイトニング前
下の写真が オフィスホワイトニング後
になります。
女優さんの様なとても素敵な口もとになりました。
ホワイトニングの症例
オフィスホワイトニング+ホームホワイトニング
« PMTCって何?





