
![]()

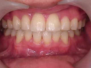
矯正終了後にホームホワイトニングを行いました。
矯正の動的治療後は歯を安定させる為にリテーナーを使っていただくのですが
ホームホワイトニング用のカスタムトレーもリテーナー替わりになりますので歯を白くしたい場合には一石二鳥ですね(笑)
約2~4週でハッキリと違いが分かる様になります。
オフィスと違い、即効性はありませんが安定した結果が期待出来ます。
写真は1ヶ月後の状態です。
ホワイトニングの症例
ホワイトニングの症例

![]()

矯正終了後にホームホワイトニングを行いました。
矯正の動的治療後は歯を安定させる為にリテーナーを使っていただくのですが
ホームホワイトニング用のカスタムトレーもリテーナー替わりになりますので歯を白くしたい場合には一石二鳥ですね(笑)
約2~4週でハッキリと違いが分かる様になります。
オフィスと違い、即効性はありませんが安定した結果が期待出来ます。
写真は1ヶ月後の状態です。