
![]()

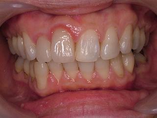
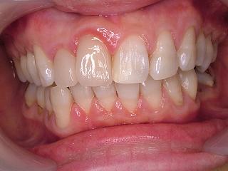
オフィスホワイトニング1回のbefore,afterです。
2週間後に挙式予定があり、歯を白くしたいと来院されました。
右上1番2番にセラミックスの修復があり、あまり白くし過ぎてしまうと
違和感が出る為、バランスを考慮してのホワイトニングです。
写真では分かりずらいですが、とても口もとが明るくなりより素敵な笑顔になりました。
結婚式が楽しみですね。おめでとうございます。
ただ右上1番の歯肉の赤みは気になります。
2年前に他医院でかぶせたそうですが、明らかに炎症を起こしていますね。
式が終わり時間に余裕が出来たら、じっくりperio(歯周病)の処置です。
ホワイトニングの症例
ホワイトニング
« インプラント





