
![]()


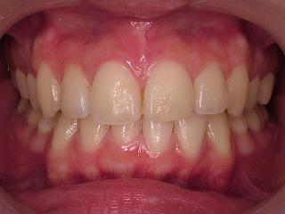
以前のブログにUPさせて頂いた患者さまです。
矯正終了後3年が経過し、定期的にクリーニング、検診にお越し頂いおりますが
今回ホワイトニングも行いました。
ホームホワイトニング3週間後の写真です。
とても白く、口もとも明るくステキになりました。
接写用のレンズで写真を撮っていますので口もとの写真が少し暗いですね(汗)
写真が悪くてゴメンなさい。勉強しておきますね(笑)
ホワイトニングの症例
ホワイトニングの症例

![]()


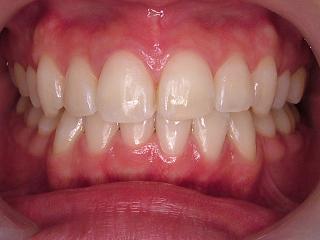
以前のブログにUPさせて頂いた患者さまです。
矯正終了後3年が経過し、定期的にクリーニング、検診にお越し頂いおりますが
今回ホワイトニングも行いました。
ホームホワイトニング3週間後の写真です。
とても白く、口もとも明るくステキになりました。
接写用のレンズで写真を撮っていますので口もとの写真が少し暗いですね(汗)
写真が悪くてゴメンなさい。勉強しておきますね(笑)