
![]()

久しぶりにホワイトニングの症例をUP致します。
新しく導入したZOOMホワイトニング・システムで行いました。
15分×2set、トータルのチェアータイムで約50分位です。
詳しくはHPのホワイトニング1日体験をご覧下さいね。
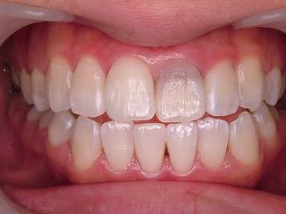
この患者さまは左上1番の変色が気になり来院されました。
不充分なCR充填処置が原因でゆっくりと神経をダメにし
変性した組織が歯を着色しています。
前回までに根の治療は終了し、これからセラミックによる修復を行うのですが
どうせならより白くキレイにようとホワイトニングをしてから
その色に合わせて被せる事となりました。
明るく、白くなりましたね。
失活歯(神経のない歯)を漂白する事(ウオーキングブリーチ)も可能ですが
極端に後戻りが激しいので当医院では現在行っておりません。
サッカーW杯なでしこjapan素晴らしかったですね。
さわ選手、白い歯での笑顔最高です。素敵過ぎます。
ホワイトニングの症例





