
![]()

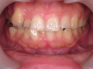
ZOOMホワイトニング
15分×2setの症例です。
上の写真は初診時のものですが画質自体は下の写真より明るいです。
下の写真は術後。
画質は暗くなっていても歯の白さはハッキリ白くなっているのが
お解り頂けると存じます。
ZOOM 良いです。
ホワイトニングの症例
ホワイトニングの症例

![]()

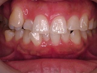
ZOOMホワイトニング
15分×2setの症例です。
上の写真は初診時のものですが画質自体は下の写真より明るいです。
下の写真は術後。
画質は暗くなっていても歯の白さはハッキリ白くなっているのが
お解り頂けると存じます。
ZOOM 良いです。