
![]()

![]()

10代の頃当医院で矯正され終了から10年が過ぎました。
現在も定期的にクリーニングに通って頂いている患者さまです。
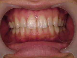
一番上の写真はホワイトニング前。
この患者さまはホームホワイトニングを行いました。
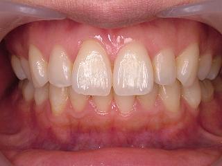
真ん中の写真がホワイトニング終了から6ヶ月の写真です。
充分白くキレイなのですが、若干後戻りがみられましたので当日待合室にて30分程時間を頂き、タッチアップのホワイトニングを行いました。
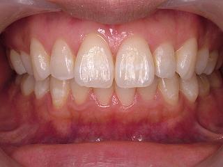
術後の写真が一番下です。
写真では分かりずらいですが実際はかなり白く透明感が出ました。
普通に生活していれば、歯は着色していきます。
着色性のお茶ですとかコーヒーを飲まない方はいらっしゃらないと思いますので(笑)
よくホワイトニングしても戻ってしまうのでしょう?と聞かれます。
何もしないで長い時間が経てばそうかもしれません。
ですが定期的にクリーニングを行い、多少色が変わったなと思った時にタッチアップを行えばすぐに色は戻ります。
この患者さまは、オフィスでのタッチアップですがホームホワイトニングを1~2日して頂ければOKです。
メンテナンスをして行けばずっと白い歯のままですね。
当医院は矯正治療のみでなく、ずっと通って頂ける、口もとの事はなんでも相談できる医院でありたいと考えています。
ホワイトニングの症例





