
![]()

![]()

ホワイトニング タッチアップの流れを示しています。
この方法は診療室にいらして頂き30分程待合室にて行う方法です。
一般的に言われるオフィスホワイトニングではなく
ホームホワイトニングの延長の様な感じになります。
ホームホワイトニングの効果は時間に比例します。
当然長い時間トレーを装着できれば、白くなるスピードもはやいですが
なかなか時間の取れない患者さまもいらっしゃいます。
そんな時、タッチアップは有効ですね。
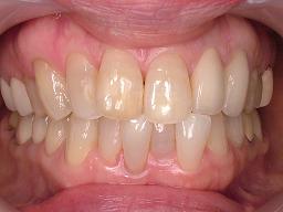
上の写真は術前
まん中が装着時
通常ホームホワイトニングには10~20%の過酸化尿素をもちいますが
タッチアップ時には45%の薬剤を使います。
歯肉に接触すると、多少火傷様の症状がでるため専用のレジンで歯肉を保護してから
ホームホワイトニングで使っているトレーを使いてホワイトニング。
下が術後になります。
わずか30分で違いが出ますが、ベースにホームである程度色が抜けている事が条件になりますね。
一番短時間で白くするのはやはりオフィスホワイトニングです。
ホワイトニングの症例





