
![]()

乳歯と永久歯の混ざったお口の状況を混合歯列期と言います。
この時期に受け口のお子さんは、かみ合わせに関して要注意です。
と言うのも、骨の成長は頭が一番最初に大きくなり
顔面→上顎→下顎と上から下へと向かいます。
最後まで伸びるのが足のスネです。骨の成長は18歳で99%完了です。
つまり、幼い時期に受け口であると、上顎の成長を下の前歯がブロックしてしまい
上顎が成長抑制されてから下顎が前に成長しますので
将来、相対的に受け口の度合いが大きくなってしまいます。
受け口の矯正は早め早めが理想です。
受け口には2通りあります。
機能性の反対咬合
骨格性の反対咬合 です。
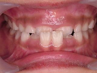
機能性の場合、本来アゴの位置関係はそんなに悪くないのに
歯の傾斜が悪く、アゴを閉じようとするとまず、上下の前歯が当たってしまい
奥歯で咬めない→しょうがないので下顎を前に出して咬んでいる状況。
写真の症例も機能性のClassⅢです。
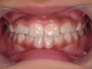
機能性の場合は上の前歯を振り出してあげればスグに改善します。
お子様の受け口が気になる場合は、まず上下の前歯が当たるかを確認してくださいね。
機能性も放っておくと骨格性に移行しますのでご注意下さい。
矯正歯科の症例





