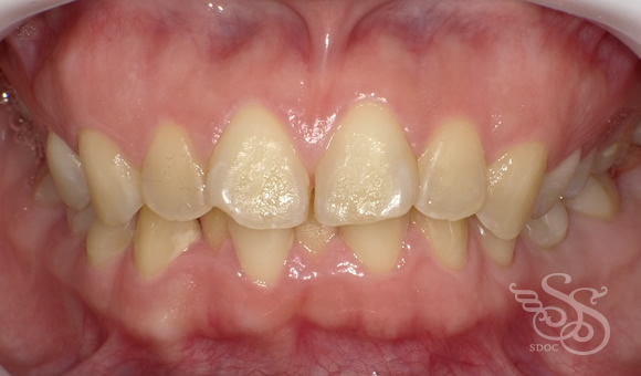
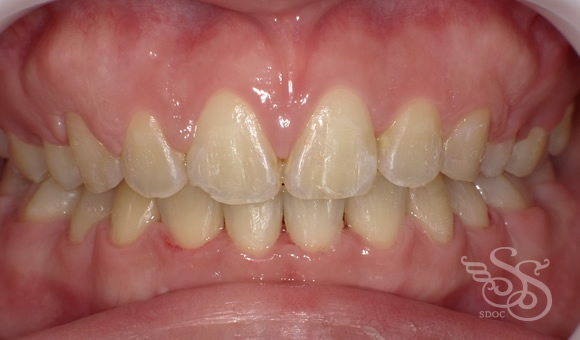
正面:術前
正面:術後
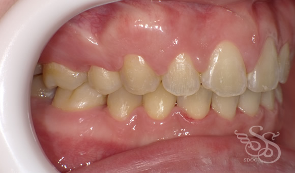
右側:術前
右側:術後
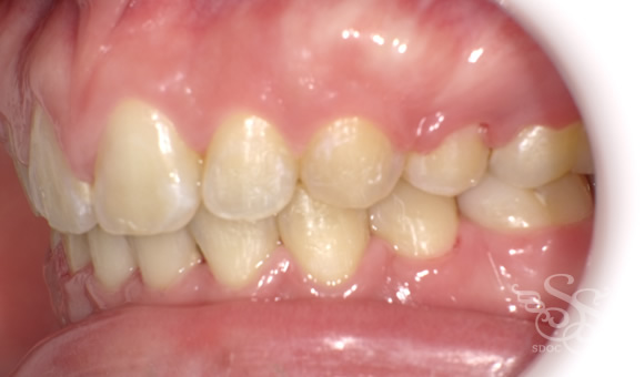
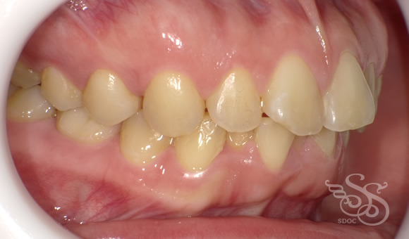
左側:術前
左側:術後
口元:術前
口元:術後
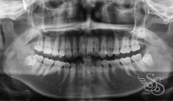
レントゲン:術前
レントゲン:術後
20代 女性の患者さま
Bi-max症例ですね。
ぱっと見はある程度キレイに並んでいるのですが
前歯がフレアーアウト、前に傾いてしまっています。
よく抜かないで矯正をすると
こんな感じにフレアーアウトしたフィニッシュになりがちですね。
口もとの突出感も気になります。
あと、この患者さまは
下顎5番の 先欠でEが残存していました。
乳歯は後継永久歯がなくても
根は吸収していきますので
いつかはダメになります。
将来、ブリッジやインプラントにするより
いま矯正した方が、何倍ものメリットが得られます。
動的治療期間 2年4ヶ月でした。
歯ならびだけでなく
口もとの前突感もなくなり
素敵な口もとになりました。





