

![]()


最近すべての矯正治療が歯を抜かずに出来るかのような、偏った内容の本やネットでの情報発信があります。
私達も勿論、可能であれば歯を抜きたくありません。ですが、将来的に安定した機能的でキレイな歯並びを確立するためには、必要であれば抜歯すると言う結論になります。
床矯正に代表される”とにかく顎を拡げて歯を並べましょう”的な矯正は、仮に並んだとしても全体的に出っ歯になり前歯が合わないで終わってしまうケースが多いのではないでしょうか。そのような症例をネット等で見ると悲しくなると同時に本当にそれでイイと思っているの?と感じてしまいます。決して床矯正が悪いと言っているのではありません。
どんな装置を使おうとゴールが一緒であれば問題ありませんが、目指すゴール(機能・安定。審美性)が違ってはいけないと考えます。
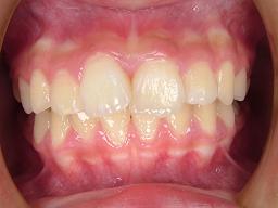
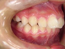
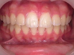
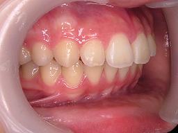
写真は奥歯をもっと奥に移動し、非抜歯で仕上げた症例です。
リテンション、装置を外して2年経ちますが安定していますね。
矯正歯科の症例





