
![]()


![]()


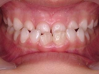
フェイシャルマスクを10ヶ月使用して頂きました。
イイ感じに反対交合が改善されていますね。
マスクはとても効果的な装置ですが、下顎の回転によりオープンバイト傾向になってしまうデメリットも持ち合わせています。
したがって、骨格的な下顎前突症のみに用います。
ワイヤーのみで反対交合を改善出来るのであればマスクは使わない方がbetterですね。
では、ワイヤーのみで改善出来るケースとは?
詳しい検査をしないと確実な事は言えないのですが
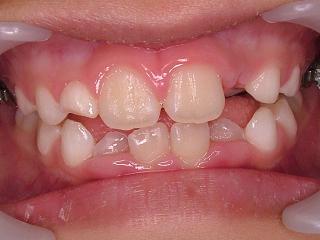
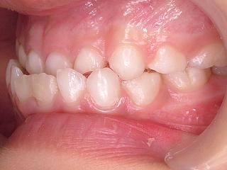
1つの目安として、楽に顎を閉じて来たとき、前歯同士が1番最初に当たり奥歯が開いている状態(構成咬合)になってしまう。
奥歯で咬めないから、下顎を前に動かして噛んでしまう=機能性の反対咬合。
機能性の場合はワイヤーのみで改善出来るでしょう。
しかしながら、機能性も放っておくと骨格性に移行しますので注意が必要です。
反対咬合の治療は早め早めが基本ですね。
矯正歯科の症例
フェイシャルマスク
バービー »





