
parsonalized color matching for YOUR TEETH
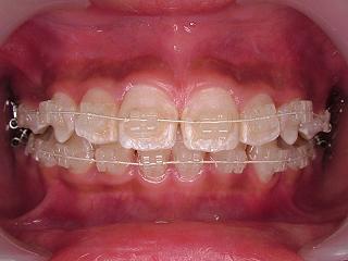
当医院で使用しているセラミックブラケットは
どんな患者さまの歯の色にもスッと馴染み、まったく目立ちません。
「あまりに気づかれないので、自分から”ほらほら”って見せています」
実際に矯正をしている患者さまの多くが、笑いながらおっしゃいます。
素敵ですね。
矯正は健康と美をデザインしていくものです。
「私、矯正しているの。ステキでしょ。カッコイイでしょう。」
患者さまにもそう思っていただければ最高です(笑)
大人の方は以前からセラミックブラケットを選択される方が多かったのですが
最近では小学生でもセラミックを選択しますね。
やはり美しいものは子供にも分かりますね。
矯正歯科の症例





