
.

.

.

.

.

.

.
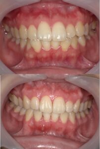
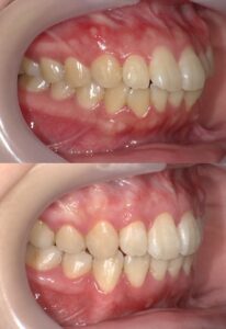
20代 女性の患者さま
口もとの突出感が気になるとNet経由でご来院されました。
骨格的な問題はあまり無かったので
マウスピース矯正で奥歯をもっと奥に移動させてから
順次前の歯を奥に送ってあげれば、たぶん抜歯しなくてもバランスのよいかみ合わせは作れたと思います。
ですが患者さまの主訴である口もとの突出感はあまり変わらないことから
カウンセリングの結果上下4番抜歯にてワイヤー矯正にて仕上げることにしました。
イイ感じではないでしょうか?
ちなみにタレントのめるるさんによく似ていると言われるそうです。
動的治療期間 2年2か月
装置料770,000円
管理料110,000円
装置料に関しては、金利手数料なしでの分割払が可能です。





