
![]()

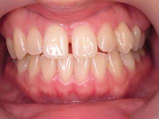
前歯の隙間が気になると、セカンドオピニオンで来院されました。
前の医院では4~6本被せてバランスを取りましょうと言われたそうです。。。
それも1つの方法ではありますが
メリットは短時間で終了する。。位ですか。
デメリットは
健康な歯を傷付けてしまう。
咬んだ時に加わる力のベクトルが不自然になり破折の危険がありまた歯肉退縮を起こす。
高額なfeeが必要。
対して部分矯正では
被せる治療?のデメリットは全て消せます。
ただ時間だけは6~10ヶ月かかってしまいますね。
この患者さまもMTMを選択されました。
当医院では矯正~インプラントまで幅広い症例に対応可能です。
セカンドオピニオンも積極的に受け入れておりますので、何なりとご相談下さいね。
矯正歯科の症例





