

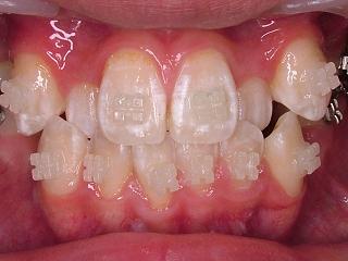
前回のつづきでブラケットの紹介です。
セラミック・ブラケット
見た目の美しさは最強ですね。
以前はブラケット自体の強度がありすぎて、矯正治療終了後に歯から外す際
歯を傷付けてしまうと言う欠点があったのですが、このブランドの製品から安全性が高まりました。写真では普通のワイヤーですが、白くコーティングされたものを使えばほとんど装置が着いていると分からないと思います。
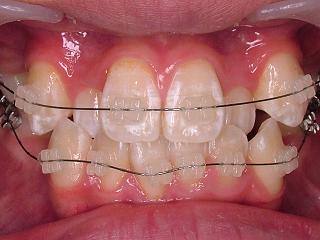
メーカーのコピーでは
“もうブラケットをつけているのに
主人が言うんです。
「いつ矯正治療を始めるの?」って(笑)”
ご主人気づこうよ と思いますが。。
それ位自然です。
カラーゴムでオシャレに遊ぶのもイイですね。
矯正歯科の症例
セラミックの矯正装置
黒いエプロン »





