

コンポジットの矯正装置をご紹介します。
歯に付ける矯正装置のことを
ブラケットまたはブレースと言います。
当医院では3種類ブレース(メタル・コンポジット・セラミック)の用意がございます。
メタルの装置は全て金属で出来ているため、ワイヤーとの相性が一番良くこちらの意図した動きをストレスなく実現してくれます。
ワイヤーとブラケットの滑りがとても良く、治療期間が1番短くなります。
また装置に着く汚れも分かり易いので、ハミガキがしやすいです。
欠点としては多少目立つ?事でしょうか。
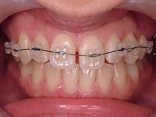
コンポジットブラケットはワイヤーと接する部分のみメタルでつくり、滑りをよくして
ワイヤーとブラケットを結ぶ部分はコンポジットで仕上げ、審美性を高めています。
バランスのイイ装置です。
欠点としては吸水性があるので、1年を過ぎる頃から少し変色を起こします。
写真の症例は前歯の隙間をどうにかしたいと来院されました。
前の歯医者さんでは前歯全て削ってかぶせると言われたそうです。
そのような治療?行為?をスピード矯正とか、2回で終わる矯正とかの表現を散見しますが審美補綴であり、矯正治療ではありませんね。
当医院では補綴ももちろん行っておりますが、歯を傷つけないで満足出来る結果が得られるのであればまずは矯正をお薦めします。
自然な歯に勝るものはありません。
このケースでは上の前歯の隙間を閉じてアンテリアガイダンス(前歯部での顎の誘導)をつくります。
見た目も素敵になりますね。
期間は1年もかかりませんので、コンポジットでキレイなまま行けますね。
矯正歯科の症例





