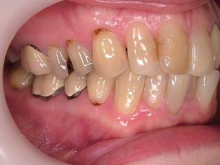
全てキレイにやり直して欲しいとHPをご覧になり来院された患者さまです。
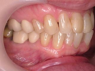
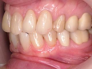
約1年掛かりでここまで来ました。
インプラント、ホワイトニング、オールセラミックス、ハイブリッドセラミックスと審美修復を行いました。
歯の色、形は勿論ですが歯ぐきのキレイさにも注目して頂けると嬉しいです(笑)






感慨深いものがあります。
がんばって通って頂いて感謝です。
審美歯科と言うと、なんでも削って被せて見た目を美しくする
2回でキレイになります みたいな広告も散見しますが
かみ合わせのバランスを考慮しない修復は何処かに歪みがでてきます。
歯肉退縮であったり、歯冠、歯根破折であったり顎関節症などですね。
勿論通院回数は少ない方が良いのですが、時間をかけても将来やり変える必要のない
治療をご提供したいと考えます。
歯がボロボロ⇒フルマウス(全顎治療)症例





