
![]()

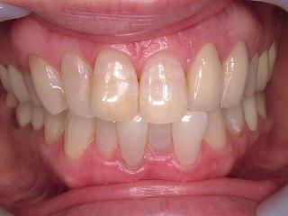
審美歯科症例です。
ホワイトニング、セラミックス、インプラントとほぼfull-mouth症例です。
当医院の得意とするところですが、患者さまの協力無しでは成し得ません。
頑張って通って頂き本当に感謝です。
1年前位にホームホワイトニングを行い、その色に合わせて修復を行って来たのですが
若干後戻りを感じましたのでZOOMでまた白くしてみました。
歯ぐきも引き締まっていますし、歯も白く輝いています。
素敵ですね。
歯がボロボロ⇒フルマウス(全顎治療)症例
歯がボロボロ⇒フルマウス(全顎治療)症例

![]()

審美歯科症例です。
ホワイトニング、セラミックス、インプラントとほぼfull-mouth症例です。
当医院の得意とするところですが、患者さまの協力無しでは成し得ません。
頑張って通って頂き本当に感謝です。
1年前位にホームホワイトニングを行い、その色に合わせて修復を行って来たのですが
若干後戻りを感じましたのでZOOMでまた白くしてみました。
歯ぐきも引き締まっていますし、歯も白く輝いています。
素敵ですね。