



根の治療のやり直し / 感染根管処置と言います。
根の先に病巣があるのがレントゲンで見つかった。
なんとなく異和感があり、咬むと痛い(歯根膜炎)。
歯ぐきの上の方から排膿している。
自覚症状のある、無しに関わらず冠の被せ換えをする。
等の場合に行います。
以前のブログにも書きましたが
当医院では根の治療時、上顎の前歯以外では唾液による細菌感染を防ぐ為
ほぼ100%ラバーダムを装着させていただいております。
保険診療でも当然だと考えています。
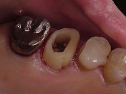
写真は一連の流れですね。
冠を外し感染歯質を除去すると、ラバーをかける部分が残らない事もよくあります。
レジンにて隔壁をつくり
ラバーをかけて根の治療のスタート。
仮歯を装着して次回まで過ごして頂きます。
治療中の前の歯はコア/ 土台まで入ったところです。
保険制度上は冠は2年間もてば良い事になっていますが
これは最低ラインの話であり、2年でダメになる治療はあり得ないと考えています。
当医院では自費治療の被せ物に関しましては10年間の保証をお付けしています。
徹底した感染予防、無菌的処置、バランスのとれたかみ合わせの付与
などを考慮して治療を行っているからこその自信の10年保証ですね(笑)
根管治療(歯内療法)の症例





