
![]()

歯の表面を一層だけ削り、セラミックのシェルを張付ける修復法をラミネートベニアと言います。
付け爪の様なイメージです。ちなみに爪も歯も表層はエナメル質で出来ています。
対して、表面をいっさい削らず直接レジンを築造して歯の色、形を変える方法をダイレクトベニアと言います。
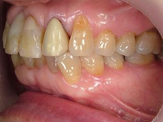
写真の患者さまは左上2番をラミネートベニア
左右1番をダイレクトベニアにて修復しています。
美しさでは明らかにラミネートが有利なのですが、とにかく一切歯を削りたくない、でも白くしたいと言うご要望でしたので
まず全歯ホワイトニングをしてから
左右1番をダイレクトベニア 歯は削りませんので多少厚みが出てますね。
左上2番は補綴されてましたのでやり替えをお薦めしましたが、
とにかく削りたくない、でもブラックマージンは消したいとの事でしたので
セオリーとは違いますが、最少の削除量ですむラミネートベニアで仕上ています。
ダイレクトべニアの症例





