
![]()

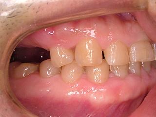
右上65のナチュラルデンチャーです。
この患者さまは、咬む力が強く⑦6⑤のブリッジでしたが⑤の歯根が割れてしまい
抜歯となってしまいました。
神経を取ってしまった歯では時々、歯根破折が起こります。
神経は大切にしましょうね。
⑦65④のブリッジも可能ですが、⑦④の負担が大きすぎ
また破折を起こしてしまう可能性がある。
インプラントもクリアランスの問題で不安があった為
義歯の選択となりました。
違和感なく使えるとおっしゃて頂けました。
見た目も自然ですね。
入れ歯(義歯)症例
入れ歯(義歯)症例

![]()

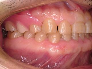
右上65のナチュラルデンチャーです。
この患者さまは、咬む力が強く⑦6⑤のブリッジでしたが⑤の歯根が割れてしまい
抜歯となってしまいました。
神経を取ってしまった歯では時々、歯根破折が起こります。
神経は大切にしましょうね。
⑦65④のブリッジも可能ですが、⑦④の負担が大きすぎ
また破折を起こしてしまう可能性がある。
インプラントもクリアランスの問題で不安があった為
義歯の選択となりました。
違和感なく使えるとおっしゃて頂けました。
見た目も自然ですね。