

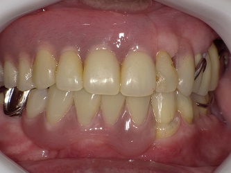
部分入れ歯には
クラスプと呼ばれる 歯にかけるバネが必要です。
一般的には金属のものですが
最近ですと
ノンクラスプと呼ばれる
バイオマテリアル熱可塑性樹脂でつくられる
審美性の高い入れ歯もございます。
ただ強度的にはレジン床のほうが優れています。
また、人工歯と樹脂が科学的に接着しないので
経年的につなぎ目が着色してしまう
樹脂自体が退色して白っぽくなってしまう等
ネガティブな要素もあり
個人的には
レジン床のほうが良いように感じています。
でも前歯に金属色は。。ちょっと。。と思いますよね。
で、こんな感じの透明なクラスプはいかがでしょうか?
入れ歯(義歯)症例





