
![]()

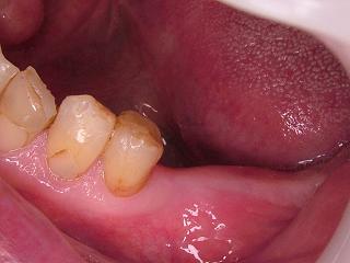
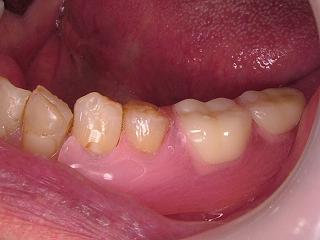
ノンクラスプデンチャーです。
ナチュラルデンチャーですとかエステティックデンチャーと呼ばれています。
今までの部分入れ歯はバネの部分が金属(ワイヤーもしくは鋳造物)で出来ていました。
また、部分入れ歯を安定させるには3点以上で支えるのがベストです。
1~2欠損で両わきに歯がある場合は2点支持で充分ですが、遊離端欠損(うしろに歯が無い)ケースでは3点以上の支持が必要になります。
カメラの三脚と一緒ですね。2点では安定しませんね(笑)
ノンクラスプは見た目の美しさ、自然さも素晴らしいですが、歯をホールドする部分を大きく製作出来、維持力を高められますので2~3歯の遊離端欠損では片側だけで処理する事が可能になります。
またとても薄く、軽い仕上がりですので自然な装着感が得られます。
義歯に不満はある。でもインプラントまではちょと。。とお考えの方にお薦めですね。
入れ歯(義歯)症例





