
![]()


下顎の入れ歯がしっくりいかない方は多いのではないでしょうか?
入れ歯がしっかり安定するには、吸盤と一緒の原理で
顎と入れ歯が密着し陰圧を創り出していないといけないんですね。
上顎は大きな床面積がとれますので吸着しやすいのですが
下顎は舌がありますのでU字型の面積しか取れません。
当然表面積は小さく吸盤の効果が発揮しずらいのです。
また、時を重ねると骨時自体も痩せて来ますので益々表面積が無くなってきます。
通常入れ歯は硬いレジンで出来ています。
顎堤の形は人それぞれです。
キレイな山型であれば苦労せず、適合性の良い入れ歯が出来ます。
しかしほとんど全ての方が凸凹しており
当たって痛いところを削っていくうちにユルイ入れ歯になってしまうのですね。
コンフォートは入れ歯の裏側をシリコンで製作する事により
当たりをソフトにし痛くなく密着出来る様になりました。
痛くなくしっかり咬める様になります。
コンフォート 素敵です。
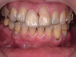
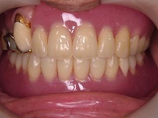
入れ歯(義歯)症例





