
![]()


入れ歯の違和感に悩まれる方は多いと思います。
保険の入れ歯はレジンで出来ているため強度をだそうとすると厚くなり
かなり大きな物がお口の中に入っている感じがします。
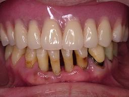
金属床はフレーム部分を金属でつくっている為、うすくても強度が出せます。
また金属には熱伝導性がありますので、熱いものは熱く、冷たいものは冷たく感じられ
より自然な感覚でお食事が出来ます。
自費の治療では、ただ単に保険治療のものと構成材料が違うと言う訳ではなく
ステップごとに最高の精度が出るように製作して行きます。
時間、回数もかかりますが全ては、使いごごちの良い入れ歯の為なんです。
この患者さまは、3軒歯医者さんを変えましたが満足にかむことが出来ず悩んでいたところご友人の紹介で来院されました。
完成した入れ歯を装着した瞬間
「わぁ~キレイ」
とおっしゃて頂きました。もちろんしっかり咬める様になりました。
入れ歯(義歯)症例
入れ歯 金属床
« インプラント





