
![]()

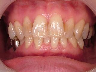
前歯のコンポジットレジンによる修復になります。
比較的よくあるケースですね。
当医院でのコンポジットは市販されているレジンの中でも
最小フィラー(ナノテク)のものを使っておりますので仕上がりもキレイです。
あ、もちろん技術も自信アリですよ(笑)
前歯CR(コンポジットレジン)症例
前歯の虫歯
« 講演会
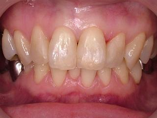
前歯CR(コンポジットレジン)症例

![]()

前歯のコンポジットレジンによる修復になります。
比較的よくあるケースですね。
当医院でのコンポジットは市販されているレジンの中でも
最小フィラー(ナノテク)のものを使っておりますので仕上がりもキレイです。
あ、もちろん技術も自信アリですよ(笑)