
![]()

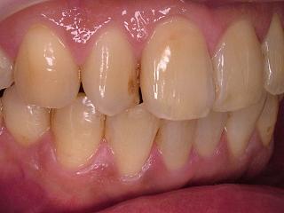
右上2番のCR充填です。
エナメル質の形成不全+コンタクトカリエスの症例ですね。
一般的より少しだけ歯の色が濃い(A3.5位)患者さまなのですが
最近ホワイトニングをされる方が多く
白い歯ばかり目にしていましたので、大分濃く感じてしまいます(笑)
あとタバコを吸う方なので歯と歯の間に着色が見られますね。
タバコはよくないです。。
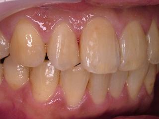
ホームホワイトニングを行うことによってブラシの届かない部分の着色もキレイする事が可能です。
前歯CR(コンポジットレジン)症例
前歯のCR
tek »
前歯CR(コンポジットレジン)症例

![]()

右上2番のCR充填です。
エナメル質の形成不全+コンタクトカリエスの症例ですね。
一般的より少しだけ歯の色が濃い(A3.5位)患者さまなのですが
最近ホワイトニングをされる方が多く
白い歯ばかり目にしていましたので、大分濃く感じてしまいます(笑)
あとタバコを吸う方なので歯と歯の間に着色が見られますね。
タバコはよくないです。。
ホームホワイトニングを行うことによってブラシの届かない部分の着色もキレイする事が可能です。