

![]()


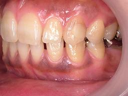
上顎左右3番のCRのやり替えです。
充填部分だけでなくコンタクトカリエスにもなっていました。
以前の詰め物は色も合っていないですし、繊細さが感じられませんね。
当医院では、出来るだけ自然に見せる為に様々なテクニックを使っております。
以前の詰め物をもっとキレイにしたい方はご相談下さいね。
一番下の写真は充填、研磨直後なので出血がみられますね(汗)
前歯CR(コンポジットレジン)症例
前歯のCR(犬歯)
« 前歯のCR
前歯CR(コンポジットレジン)症例


![]()


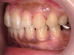
上顎左右3番のCRのやり替えです。
充填部分だけでなくコンタクトカリエスにもなっていました。
以前の詰め物は色も合っていないですし、繊細さが感じられませんね。
当医院では、出来るだけ自然に見せる為に様々なテクニックを使っております。
以前の詰め物をもっとキレイにしたい方はご相談下さいね。
一番下の写真は充填、研磨直後なので出血がみられますね(汗)