
![]()

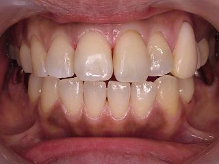
右上2番1番左上1番のCR(コンポジットレジン)のやり直しです。
レジンはどうしても吸水性がありますので、何年かすると変色してしまします。
とくにつなぎ目の着色が気になってきますね。
この患者さまは前歯が合わず(オープンバイト)、また歯並びが微妙に悪いのを気にされていました。
今後、上の前歯だけ矯正してバランスを整える予定です。
現在左上のブリッジを仮歯(tek)にしています。3番のブラックマージンが消えるだけでとてもキレイですね。出来るだけ前歯を後退させたい症例なので、3番のtekを削りスペースをつくります。
半年から10ヶ月程度で見違えるようにキレイになるでしょう。
前歯CR(コンポジットレジン)症例





