
![]()

HPをご覧になり川口よりご来院された患者さまです。
3月に挙式を控えてるそうで(おめでとうございます!)出来るところまで
キレイにして欲しいとのオーダーを頂きました。
最終補綴物まではとても無理ですが、欠損部及び銀歯はTEKにして審美的にする予定です。
前回まず右上5番をTEKにしました。
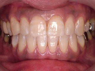
今回、右上2番3番の間の虫歯をCR修復してからオフィスホワイトニングを行いました。
だいぶ明度が上がりましたね。
今後ホームホワイトニングも行って頂く予定です。
イイねボタンを押して頂けると大変嬉しく思います(笑)
前歯CR(コンポジットレジン)症例
前歯のCR→オフィスホワイトニング
« 前歯のCR





