
![]()

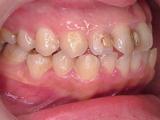
前歯のCR充填です。
歯と歯の間の虫歯のことをコンタクトカエリエスと言います。
歯は咬み合った時に、圧力を受け変形します。
CMで遼クンのインパクトの瞬間は200kgの力がかかっていると言いますが
成人男性で最大500kg、女性でも300kg位はかかると言われています。
この圧力で歯と歯が擦れ合い、ヒビ(クラック)が入ります。
そこにバイ菌が入り込んで虫歯にしてしまうんですね。
コンタクトの清掃にはデンタルフロスをお使いください。
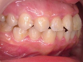
キレイになり、清潔感がでましたね。
前歯CR(コンポジットレジン)症例





