
![]()

前歯のCR(コンポジットレジン)のやり替えです。
医院によっては先生が歯を削ったら、CRを詰めるのは歯科衛生士さんと言うところもあります。1人で何十人もの患者さまを診なくてはならない病院では、時間短縮のためそうならざるを得ませんね。もちろん合法ですが。。
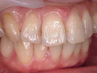
この患者さまも、衛生士さんが詰めたのかどうかは分かりませんが、詰め方の精度が低く変色し虫歯にもなっていましたのでCRのやり替えをしました。
充填、研磨直後の写真なので、歯ぐきより少し出血が見られますね(汗)
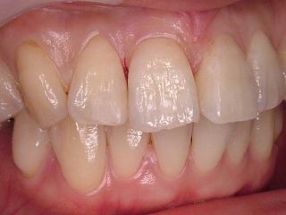
キレイになりました。前歯の美しさは人の印象を左右する大切な要素です。
前歯CR(コンポジットレジン)症例





